***Göttinger Mädels (und Jungs) die 3. ***

Unsere Hauptkategorie. Hier wird über alles rund um den Kinderwunsch diskutiert. :-)
Antworten
butterfly10
Rang2
Rang2
Beiträge: 1564
Registriert: 08 Nov 2004 11:20

Beitrag von butterfly10 »

Guten Tag,

wünsche euch allen einen schönen zweiten Advent.

Thintalle: :knuddel: denke an dich

Alex:versuche heute anzurufen, waren das WE bei meinen Schwiegeltern

Nicole:na dann jetzt schon alles gute

An alle nicht genannte *dd*

BT
Bild

Bild
Werbeslider mit Buttons
Drachenfee
Rang0
Rang0
Beiträge: 46
Registriert: 22 Jul 2005 14:45

Beitrag von Drachenfee »

thindenke viel an dich und drücke däumchen.....

drea wie gehts dir so? hat dich der ws-koller schon gepackt?

ich bin langsam hibbelig....

ganz liebe grüsse an euch alle :knuddel:

drachenfee
Benutzeravatar
Nicole29
Rang3
Rang3
Beiträge: 2443
Registriert: 29 Jan 2005 19:36

Beitrag von Nicole29 »

hi!!

Fegebesen: Schön mal wieder was von Dir zu hören!! Wie geht es Dir?

Mara: Und Dir? Wie gehts?

Butterfly: Bald bald hast du es geschafft.

Ganz liebe Grüße
an alle Schmatzer!!!
Nicole
Benutzeravatar
thintalle_lalaith
Rang2
Rang2
Beiträge: 1933
Registriert: 05 Jul 2005 15:45

Beitrag von thintalle_lalaith »

hallo,

ein kurzes Update von mir. HCG steigt immer noch an , ist aber nicht Zeitgerecht und nicht hoch genung. wird wohl eine FG... hoffentlich ist das keine ELSS.. Am Mittwoch habe ich die nächste Kontrolle. im Moment können die noch nichts machen. eine Schwangerschaft besteht. das ist fest aber keiner weiss noch, wo sich mein Krümel plaziert hat... ich versuche das positiv zu sehen. .. Der Embryo hat sich entwickelt und immerhin kam es zu einer Einnistung.... tja...

ansonsten LG an alle und *dd* für alle die es brauchen.
Benutzeravatar
Sternenfee
Rang1
Rang1
Beiträge: 281
Registriert: 05 Jul 2005 12:45

Beitrag von Sternenfee »

Guten Morgen

ich wünsche euch allen einen schönen Nikolaus :knuddel:

Für alle *dd* *dd* *dd* die es nötig brauchen

Lieben Nikolausgruß
Antje
Bild

<a href="http://lilypie.com"><img src="http://bd.lilypie.com/tP1Np2.png" alt="Lilypie Ich erwarte ein Baby Ticker" border="0" width="400" height="80" /></a>
IUIam 23.7. NEGATIV
IUI am 19.8. NEGATIV
IUI am 14.9. NEGATIV
Drea31
Rang1
Rang1
Beiträge: 831
Registriert: 26 Sep 2004 09:33

Beitrag von Drea31 »

Hallo Ihr Lieben,
heute mal wieder ein Lebenszeichen von mir. 2 Tage vor dem SST schwebe ich zwischen Hoffnung und Verzweiflung.

Bei ET+3 habe ich noch 1000 i.E. Predalon nachgespritzt.
BA bei ET+ 6 ergab folgende Werte: E2: 3134 und Prog.: >60. Demzufolge durfte ich auch nichts mehr nachspritzen.
Daher habe ich auch schon SST gemacht (konnte es nicht lassen; SST ab 25). Bei ET + 9, 10, 11 (also 6, 7, 8 Tage nach dem Predalon). Waren sie leicht positiv. Der heutige bei ET +12 ergab jedoch lediglich den Hauch einer 2. Linie, weniger als die Tage zuvor. Anscheinend waren die anderen SST noch von dem Predalon beeinflusst, wobei ich 1000 i.E. nicht viel finde.
Fazit: Habe mich zwischendurch schon gefreut und jetzt bin ich gefrustet.
Donnerstag habe ich dann Gewissheit.

Liebe Grüße und *dd* für alle, die es gebrauchen können.
Drea
Benutzeravatar
Sternenfee
Rang1
Rang1
Beiträge: 281
Registriert: 05 Jul 2005 12:45

Beitrag von Sternenfee »

Drea dann ganz doll für dich *dd* :knuddel:
lg Antje
Bild

<a href="http://lilypie.com"><img src="http://bd.lilypie.com/tP1Np2.png" alt="Lilypie Ich erwarte ein Baby Ticker" border="0" width="400" height="80" /></a>
IUIam 23.7. NEGATIV
IUI am 19.8. NEGATIV
IUI am 14.9. NEGATIV
Benutzeravatar
thintalle_lalaith
Rang2
Rang2
Beiträge: 1933
Registriert: 05 Jul 2005 15:45

Beitrag von thintalle_lalaith »

Hallo drea,

ich glaube nicht, dass das von Predalon kommt. bei mir war der Test bei ET+12 auch leicht positiv. die Linie war zwar nicht stark "gesättigt" aber sehr breit und rosa.

LG und *dd*
Benutzeravatar
Jens75
Rang0
Rang0
Beiträge: 158
Registriert: 08 Dez 2002 18:27

Bericht vom Baby-TV

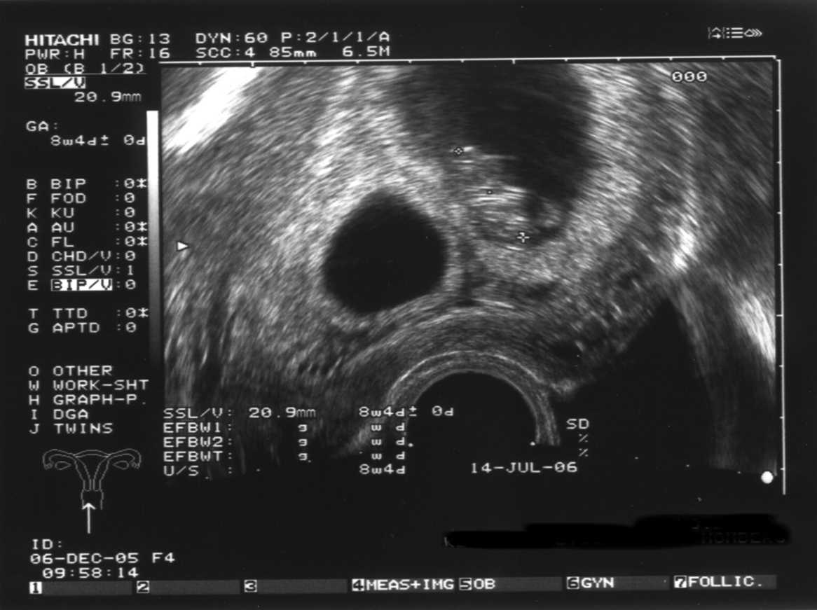
Beitrag von Jens75 »

Hallo Göttingen-Ordner!

Erst mal: @Drea und allen die es im Moment brauchen: *dd* *dd* *dd*

Heute morgen waren wir ja zum 1. planmäßigen US bei der normalen Gyn.

Da haben wir erst mal über den den Entbindungstermin diskutiert. wunschkinder.net hatt mit dem Datum der Punktion den 13.07.2006 ausgerechnet, Molli den 11.07.2005 und die Gyn nun den 14.07.2005. Letzterer steht jetzt auch im Mutterpass. Naja, ist ja eigentlich auch egal.

Mit dem ET 14.07. ist Tanja heute in SSW 8+4 und die Zwillis sind zeitgerecht entwickelt (auch "8+4") und nun hat man auch als gynäkologischer Laie schön die beiden Herzchen schlagen sehen.

Die beiden US-Bilder habe ich angehangen.


Liebe Grüße und nochmals *dd* allen die es brauchen!
Tanja, Jens & Vincent Maurice
Dateianhänge
Laut Ultraschall &amp;quot;Twin A&amp;quot;
Laut Ultraschall &quot;Twin A&quot;
Laut Ultraschall &amp;quot;Twin B&amp;quot;
Laut Ultraschall &quot;Twin B&quot;
Liebe Grüße,
Jens, Tanja, Vincent, Benedikt und Marlon
---
Bild
Bild
Bild
Drachenfee
Rang0
Rang0
Beiträge: 46
Registriert: 22 Jul 2005 14:45

Beitrag von Drachenfee »

habe grade gelesen, dass drea ihre blutwerte beschrieben hat, etc.....

mir wurden die werte nie genannt, nur, ob und wann ich nachspritzen musste.....

vielleicht kann mir jemand von euch sagen, ob das eher ein schlechtes oder ein gutes zeichen ist:

also: et + 2 habe ich 2500 predalon gespritzt
et + 5 habe ich 1250 predalon gespritzt
et + 8 habe ich 1250 predalon gespritzt

und nehme 3x2 utrogest....

sst ist am freitag....

kenne mich da überhaupt nicht aus....
:help:

liebe grüsse drachenfee
Antworten

Zurück zu „Rund um den Kinderwunsch“