@nanni: kann schon zusammen hängen. Mir hat vorhin Puzzelchen geantwortet. Die hat bei der ICSI 2x1 Crinone bekommen, morgens und abends und sie musste die Medis absetzen, damit die Mens kam. Bei den Kryos und der nächsten ICSI hat sie dann nur noch einmal bekommen und sie ist jedesmal nicht bis zum Test gekommen. Immer vorher kam die Mens.
Utro geht auch. Ist auch Progestoron. Wird gerne bei den Kryos oder Selbstzahlern genommen da es etwas günstiger ist. Crinone kostet so um die 78Euro und Utro 35.
Doch bei uns lags super doll am SG, aber wo noch ein Spermium ist, kann ja noch was daraus werden- Wollen die "natürlichen" Zyklen bestmöglich nutzen und da ist das mit ärztlicher Überwachung und ES auslösen am besten. Entweder wir haben dann lust aufeinander und nutzen das dann oder wir lassen es den abend, aber wir wissen das wenigstens genau. Mit Persona ist mir zu stressig, außerdem hatte wir das am Anfang unserer Kiwu-Zeit (wo wir noch nicht alt genug waren für ICSI und Co) auch so gemacht und da hat die KK das auslösen und Co bezahlt, da es ein natürlichen Zyklus ist.
Micha wollte schon auf Arbeit bei sich für unseren Kryoversuch sammeln gehen

ich hab gesagt ich stelle mich vor Karstadt. Wäre die Weihnachtszeit da hätten wir uns am Zoologischen Garten hinstellen können am U-Bahn Eingang und da singen können

Hab ich mal mit nen paar Klassenkameraden gemacht und 35 DM in 1 Stunde bekommen
@langie: drücke dir für morgen ganz doll die Daumen. Das hat noch nichts zu heißen! Bei mir ist es etwas anders, da es wirklich schon mensmäßig ist! Also gib die Hoffnung nicht auf!
@kessi: boah bist du schon weit

hab gerade an deinem Ticker gesehen, dass du ja auch schon bald ET hast

Drücke dir für die letzten Wochen die Daumen, dass es nicht mehr allzu anstrengend wird.
@michi: dann geht das ja wenn es "nur" eine Verstauchung ist. aber kann auch höllisch weh tun.
@jowi:danke dir, dass du in deinem Buch geschaut hast

HCG geben sie bei uns in der Praxis eigentlich auch nicht, hab ich bisher nicht mitbekommen. Jedenfalls nicht bei IVF/ICSI.
Gibt da nur Crinone und Utro in kombination mit Progynova. Werde das aber mal mit meinem Arzt bequasseln. Vielleicht wäre das bei der ICSI schon anders gelaufen mit dem Progesteron, da ich ja bnei der letzten ICSI auch die Mens schon vorher hatte. Stand aber anscheinend nicht in der Akte.Werde das aber auf alle Fälle ansprechen. Danke dir! Freue mich schon auf nen Treffen mit Dir

Muss am Samstag auch schuften, wobei du ja auch Sonntag ranmusst oder? Wo arbeitest du direkt? Kannst/willst das sagen?
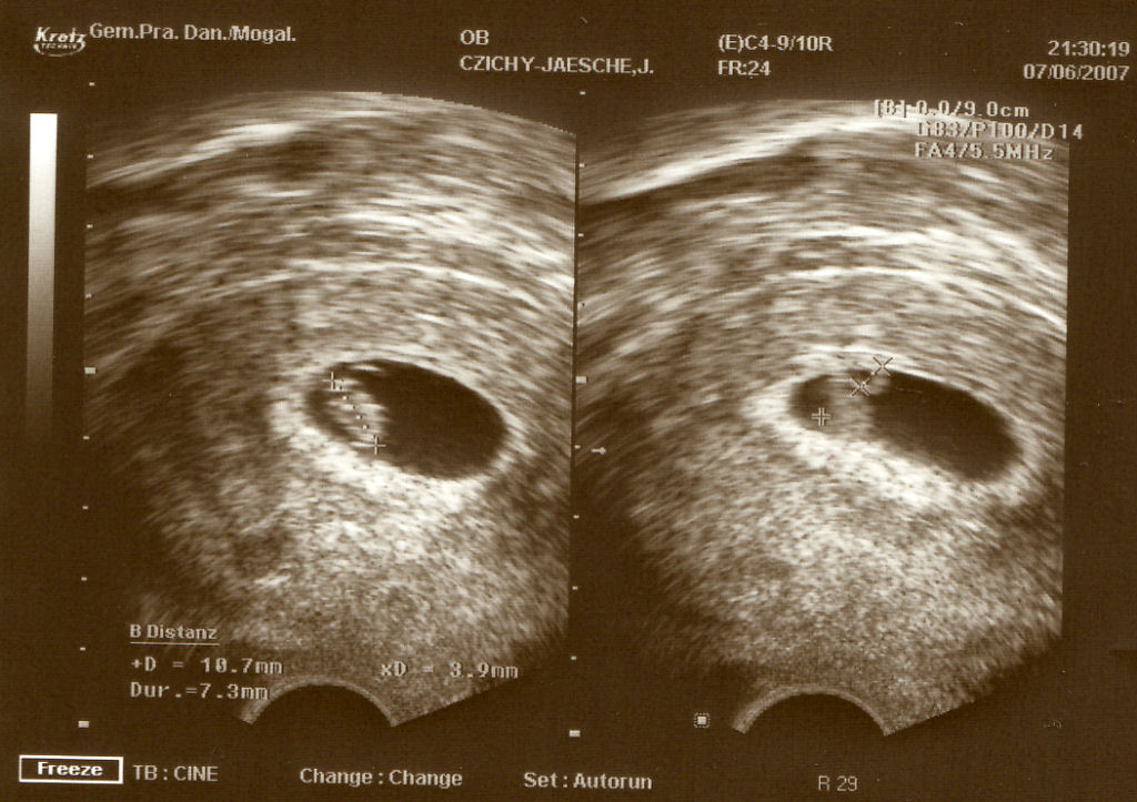
@jaeschie: süßes bild von deinem Zwerg! kann man ja schon langsam richtig was erkennen.