Liebe Frau Zeitler,
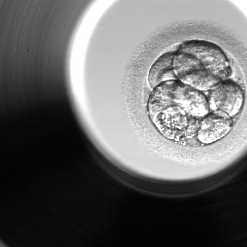
wie schätzen Sie diesen Kryo ein? Er ist ein 8-Zeller Note 2 am Tag 5.
Macht dieser Embryo Sinn für ein Transer?
Ich würde mich über eine Rückantwort freuen.
Liebe Grüße
Sandra
Ihre Meinung bitte
Moderator: sonjazeitler
-
sandra12345
- Rang0

- Beiträge: 137
- Registriert: 19 Apr 2015 20:20
Danke für die Beachtung
-
sonjazeitler
- Rang1

- Beiträge: 916
- Registriert: 01 Mai 2012 15:55
Hallo,
der Entwicklungsstand des Embryos entspricht dem Stadium, das man bei einer zeitgerechten Entwicklung an Tag 3 erwartet. Wenn ein Embryo an Tag 5 im 8-Zell-Stadium ist, muss man davon ausgehen, dass die Weiterentwicklung stehen geblieben oder sehr stark verzögert ist, leider nur sehr geringe Chancen für eine erfolgreiche Einnistung.
Gruß
Sonja Zeitler
der Entwicklungsstand des Embryos entspricht dem Stadium, das man bei einer zeitgerechten Entwicklung an Tag 3 erwartet. Wenn ein Embryo an Tag 5 im 8-Zell-Stadium ist, muss man davon ausgehen, dass die Weiterentwicklung stehen geblieben oder sehr stark verzögert ist, leider nur sehr geringe Chancen für eine erfolgreiche Einnistung.
Gruß
Sonja Zeitler

