Liebe Frau Zeitler,
freue mich über eine kurze Beurteilung.
Vielen Dank im voraus.
Lieben Gruß
Bitte um Beurteilung
Moderator: sonjazeitler
Danke für die Beachtung
-
sonjazeitler
- Rang1

- Beiträge: 916
- Registriert: 01 Mai 2012 15:55
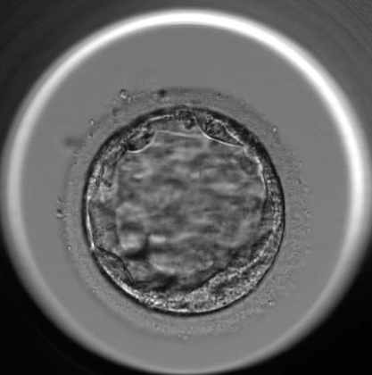
Guten Morgen,
die BC hat den Expandierungsgrad 2 bis 3
die äußere Zellmasse hat etwas ungleichmäßige Strukturen , daher B/C
die innere Struktur kann ich auf dem Bild nicht gut genug erkennen, um sie einzustufen
insgesamt kann man sagen: ein guter Embryo, der sich zeitgerecht bis zum BC-Stadium
entwickelt hat, dessen Qualität mit B beschrieben werden kann.
Alles Gute
Sonja Zeitler
die BC hat den Expandierungsgrad 2 bis 3
die äußere Zellmasse hat etwas ungleichmäßige Strukturen , daher B/C
die innere Struktur kann ich auf dem Bild nicht gut genug erkennen, um sie einzustufen
insgesamt kann man sagen: ein guter Embryo, der sich zeitgerecht bis zum BC-Stadium
entwickelt hat, dessen Qualität mit B beschrieben werden kann.
Alles Gute
Sonja Zeitler


