Wer geht noch nach Hohenems/Östereich??
Hallo zusammen!
Also, das Orgalutran habe ich jetzt auch abends gespritzt.
Heute war wieder US, und es sind jetzt rechts 7 und links 5 Follikel zu sehen.
Alle zwischen 10 und 18 mm.
Morgen abend gibt es dann die Auslösespritze und Donnerstag ist dann Punktion.
@ Gabi: Wäre dir echt total dankbar, wenn du mir kurz schreiben könntest, wie es mit der Punktion so abläuft. Wie ist der Aufwachraum, kommt man nachher noch in ein Zimmer, bis wo kann der Mann mitgehen, etc.
BNin ja so aufgeregt.
Gruß Julia
Also, das Orgalutran habe ich jetzt auch abends gespritzt.
Heute war wieder US, und es sind jetzt rechts 7 und links 5 Follikel zu sehen.
Alle zwischen 10 und 18 mm.
Morgen abend gibt es dann die Auslösespritze und Donnerstag ist dann Punktion.
@ Gabi: Wäre dir echt total dankbar, wenn du mir kurz schreiben könntest, wie es mit der Punktion so abläuft. Wie ist der Aufwachraum, kommt man nachher noch in ein Zimmer, bis wo kann der Mann mitgehen, etc.
BNin ja so aufgeregt.
Gruß Julia
Danke für die Beachtung
Schreck am Samstag Abend !!!!
Kurz bevor ich ins Bett gehen wollte, hab ich - wie immer - meine 2 Kapseln Utrogest eingeführt. Und plötzlich war da ganz wenig Blut an meinem Finger !
Ich sag Euch - ich bin vielleicht erschrocken!!! Beim normalen Abwischen war jedoch nix auf dem Toi-Papier.
Ich hab sofort in der Klinik angerufen und wir konnten gleich kommen.
Die Ärztin hat erst geschaut - aber war kein Blut mehr zu sehen... dann hat sie nen Abstrich gemacht, Urin untersucht ... alles prima und kein Hinweis auf Fehlgeburt.
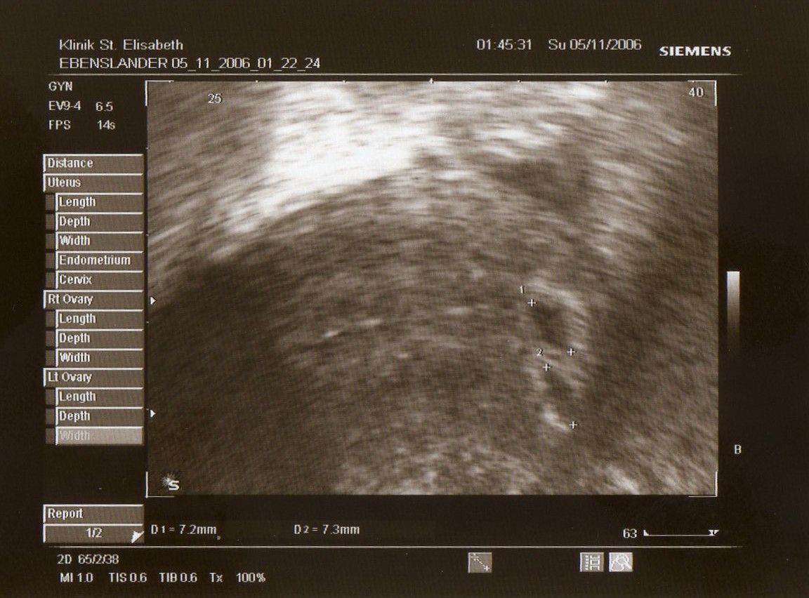
Und dann kam der US... tja ... es sind tatsächlich 2 kleine Furchthöhlen von jeweils ca. 7mm zu sehen !
Die Gebärmutterschleimhaut ist 4cm dick, an den Eierstöcken ist schön das Gelbkörperhormon ... also alles wie es sein soll ! JUHU
Hier anbei das Bild von den 2 Fruchtblasen ...
Wir freuen uns wahnsinnig und hoffen, dass alles gut geht !
Die Ärztin meinte, das Blut kann sein, weil ich mich selbst mit dem fingernagel minimal in der Scheide verletzt habe oder auch einfach durch die Hormonumstellung, die im Körper stattfindet. Ich hoffe sie hat recht
@Julia
Nur keine Panik
Ich bekam erstmal ne Beruhigungstablette, dann mein Bett in einem normalen Zimmer und dann gings los. Ich wurde im Zimmer abgeholt (im Bett), mein Mann konnte mit bis kurz vor dem OP. Dann wurde Infusion gesetzt und ich bekam Schmerz- und Beruhigungsmittel. Und dann gings los ... rein in den OP, Dr.Mangold erklärte mir nochmal alles und dann wars schon soweit. Ich hab kurz nen Schmerz gespürt, aber es war auch gleich wieder vorbei.
Danach wieder in mein normales Bett und ich wurde wieder in mein Zimmer gebracht, wo mein Mann schon auf mich wartete. Alles in allem dauerte das ne halbe Std.
Ich hatte auch danach keine Schmerzen - war nur etwas müde. 4 Std. später konnten wir dann schon wieder gehen....
Kurz bevor ich ins Bett gehen wollte, hab ich - wie immer - meine 2 Kapseln Utrogest eingeführt. Und plötzlich war da ganz wenig Blut an meinem Finger !
Ich sag Euch - ich bin vielleicht erschrocken!!! Beim normalen Abwischen war jedoch nix auf dem Toi-Papier.
Ich hab sofort in der Klinik angerufen und wir konnten gleich kommen.
Die Ärztin hat erst geschaut - aber war kein Blut mehr zu sehen... dann hat sie nen Abstrich gemacht, Urin untersucht ... alles prima und kein Hinweis auf Fehlgeburt.
Und dann kam der US... tja ... es sind tatsächlich 2 kleine Furchthöhlen von jeweils ca. 7mm zu sehen !

Die Gebärmutterschleimhaut ist 4cm dick, an den Eierstöcken ist schön das Gelbkörperhormon ... also alles wie es sein soll ! JUHU



Hier anbei das Bild von den 2 Fruchtblasen ...
Wir freuen uns wahnsinnig und hoffen, dass alles gut geht !
Die Ärztin meinte, das Blut kann sein, weil ich mich selbst mit dem fingernagel minimal in der Scheide verletzt habe oder auch einfach durch die Hormonumstellung, die im Körper stattfindet. Ich hoffe sie hat recht

@Julia
Nur keine Panik

Ich bekam erstmal ne Beruhigungstablette, dann mein Bett in einem normalen Zimmer und dann gings los. Ich wurde im Zimmer abgeholt (im Bett), mein Mann konnte mit bis kurz vor dem OP. Dann wurde Infusion gesetzt und ich bekam Schmerz- und Beruhigungsmittel. Und dann gings los ... rein in den OP, Dr.Mangold erklärte mir nochmal alles und dann wars schon soweit. Ich hab kurz nen Schmerz gespürt, aber es war auch gleich wieder vorbei.
Danach wieder in mein normales Bett und ich wurde wieder in mein Zimmer gebracht, wo mein Mann schon auf mich wartete. Alles in allem dauerte das ne halbe Std.
Ich hatte auch danach keine Schmerzen - war nur etwas müde. 4 Std. später konnten wir dann schon wieder gehen....
- Annemarie35
- Rang2
- Beiträge: 1448
- Registriert: 12 Aug 2004 12:19
Hallo Gabi,
erstmal herzlichen Glückwunsch zur Schwangerschaft. Ich drücke dir die Daumen, dass du eine unkomplizierte und schöne SS haben wirst.
@all
da ich ja auch in Hohenems bin, aber in einem anderen Ordner hier schreibe, wollte ich euch nur kurz informieren was Schwester Christine mir zum Thema Kinderwunschabteilung geschrieben hat.
Sie meinte nur die Geburts- und Gynstation wird geschlossen. Die Kinderwunschambulanz wird im LKH beibehalten. Allerdings werden die Preise zum nächsten Jahr erhöht . Um wieviel konnte sie mir leider noch nicht sagen
. Hoffen wir das Beste, damit sie ihre Preise nicht an Bregenz anpassen.
erstmal herzlichen Glückwunsch zur Schwangerschaft. Ich drücke dir die Daumen, dass du eine unkomplizierte und schöne SS haben wirst.
@all
da ich ja auch in Hohenems bin, aber in einem anderen Ordner hier schreibe, wollte ich euch nur kurz informieren was Schwester Christine mir zum Thema Kinderwunschabteilung geschrieben hat.
Sie meinte nur die Geburts- und Gynstation wird geschlossen. Die Kinderwunschambulanz wird im LKH beibehalten. Allerdings werden die Preise zum nächsten Jahr erhöht . Um wieviel konnte sie mir leider noch nicht sagen

LG Annemarie
- - - - - - - - - - - - - -
6 Jahre Kinderwunsch
5 IUI's, 1 IVF, 3 ICSI alles negativ
4. ICSI endlich positiv
<a href="http://lilypie.com"><img src="http://b1.lilypie.com/ZpqDp2.png" alt="Lilypie 1st Birthday Ticker" border="0" /></a>
- - - - - - - - - - - - - -
6 Jahre Kinderwunsch
5 IUI's, 1 IVF, 3 ICSI alles negativ
4. ICSI endlich positiv
<a href="http://lilypie.com"><img src="http://b1.lilypie.com/ZpqDp2.png" alt="Lilypie 1st Birthday Ticker" border="0" /></a>
Hallo Gabi,
Herzlichen Glückwunsch zur Zwilli-SS, das sieht ja alles ganz prächtig aus!
weiterhin für deine 2 , daß auch beide bleiben.
Mit dem Blut brauchst du nicht besorgt sein, auch wenn es mal mehr ist, ich kann Lieder davon singen, hatte bei beiden SS in den ersten 12 Wochen immer wieder welche, auch stärkere, aber den Embies ging es immer gut, kommt meißtens vom Mumu, der von dem vielen Progesteron aufgeweicht ist.
Ist ja schon mal toll zu wissen, daß es sich beide Embies in der Gebärmutter gemütlich gemacht haben:
Ich habe nämlich nachträglich auch noch einen ziemlichen "Schocker" erfahren, die Ärztin die meinen KS gemacht hat hat am Sa. angerufen und mir die Mitteilung gemacht, daß die vermeindliche Endozyste, die mir nach dem KS noch vom Eileiter weggeschnibbelt wurde, gar keine Endo war, sondern eine Eileiter SS, die wohl so in der 9-10 SSW abgestorben ist und sich dann verkapselt hat und nachdem das bei Pauls KS noch nicht war gehe ich mal davon aus, daß das die 2. Blasto aus HE war, weil ich ja auch so einen hohen HCG-Wert hatte
.
Puh, was da hätte passieren können mag ich mir gar nicht ausenken!-Ist wohl in der ganzen Aufregung um die ÜS und den Schmerzen total übersehen worden.
Jedenfalls hatten wir riiiiiiiesen Glück.
So muß jetzt weitermachen, bin heute den ersten Tag alleine mit meinen 2 Süßen...
Herzlichen Glückwunsch zur Zwilli-SS, das sieht ja alles ganz prächtig aus!


Mit dem Blut brauchst du nicht besorgt sein, auch wenn es mal mehr ist, ich kann Lieder davon singen, hatte bei beiden SS in den ersten 12 Wochen immer wieder welche, auch stärkere, aber den Embies ging es immer gut, kommt meißtens vom Mumu, der von dem vielen Progesteron aufgeweicht ist.
Ist ja schon mal toll zu wissen, daß es sich beide Embies in der Gebärmutter gemütlich gemacht haben:
Ich habe nämlich nachträglich auch noch einen ziemlichen "Schocker" erfahren, die Ärztin die meinen KS gemacht hat hat am Sa. angerufen und mir die Mitteilung gemacht, daß die vermeindliche Endozyste, die mir nach dem KS noch vom Eileiter weggeschnibbelt wurde, gar keine Endo war, sondern eine Eileiter SS, die wohl so in der 9-10 SSW abgestorben ist und sich dann verkapselt hat und nachdem das bei Pauls KS noch nicht war gehe ich mal davon aus, daß das die 2. Blasto aus HE war, weil ich ja auch so einen hohen HCG-Wert hatte

Puh, was da hätte passieren können mag ich mir gar nicht ausenken!-Ist wohl in der ganzen Aufregung um die ÜS und den Schmerzen total übersehen worden.
Jedenfalls hatten wir riiiiiiiesen Glück.
So muß jetzt weitermachen, bin heute den ersten Tag alleine mit meinen 2 Süßen...
GGLG Paul *18.06.04, Emsine ET 24.10.06 und Uschi
<a href="http://lilypie.com"><img src="http://b4.lilypie.com/7bggp1.png" alt="Lilypie 4th Birthday Ticker" border="0" /></a>
<a href="http://lilypie.com"><img src="http://b2.lilypie.com/qn5ip1.png" alt="Lilypie 2nd Birthday Ticker" border="0" /></a>
<a href="http://lilypie.com"><img src="http://b4.lilypie.com/7bggp1.png" alt="Lilypie 4th Birthday Ticker" border="0" /></a>
<a href="http://lilypie.com"><img src="http://b2.lilypie.com/qn5ip1.png" alt="Lilypie 2nd Birthday Ticker" border="0" /></a>
Hallo Mädels !
Danke für Eure Glückwünsche !
Wir hoffen nun es geht alles gut.
Mir gehts soweit gut, hab sogut wie gar nix mehr ... nichtmal die Brüste tun noch weh
Das kann gerne so weitergehen ...
@Marla
Ich kann dir keinen Tipp geben. Ich hab mich verhalten wie sonst auch. War sofort einen Tag nach Transfer wieder arbeiten, war viel mit dem Hund spazieren, hab mich nicht wirklich geschont ... also alles wirklich wie immer. Nur hab ich nichts schweres getragen und etwas auf meinen Körper gehört. Wenn ich müde war hab ich mich ne halbe std. hingelegt und so ...
@Uschi
Auch Sr.Christine hat mir geschrieben, dass das öfter mal vorkommt, dass so ne Blutung kommt. Wobei ich wirklich glaube, dass es gar nicht wirklich ne Blutung war, sondern eher dass ich mich selbst verletzt habe
Es war echt minimal ...
Am Montag hab ich die 1. richtige Untersuchung mit US und so. Mein Mann wird mitkommen. Wir sind schon sehr gespannt ob man dann die 2 Zwerglein sieht
Danke für Eure Glückwünsche !

Mir gehts soweit gut, hab sogut wie gar nix mehr ... nichtmal die Brüste tun noch weh

Das kann gerne so weitergehen ...
@Marla
Ich kann dir keinen Tipp geben. Ich hab mich verhalten wie sonst auch. War sofort einen Tag nach Transfer wieder arbeiten, war viel mit dem Hund spazieren, hab mich nicht wirklich geschont ... also alles wirklich wie immer. Nur hab ich nichts schweres getragen und etwas auf meinen Körper gehört. Wenn ich müde war hab ich mich ne halbe std. hingelegt und so ...
@Uschi
Auch Sr.Christine hat mir geschrieben, dass das öfter mal vorkommt, dass so ne Blutung kommt. Wobei ich wirklich glaube, dass es gar nicht wirklich ne Blutung war, sondern eher dass ich mich selbst verletzt habe

Am Montag hab ich die 1. richtige Untersuchung mit US und so. Mein Mann wird mitkommen. Wir sind schon sehr gespannt ob man dann die 2 Zwerglein sieht

Hallo zusammen
Das hat mich nun etwas geschockt, als Annemarie geschrieben hat, dass die Preise erhöht werden sollen. Im Hinterkopf war bei mir diese Frage schon aufgetaucht, ich habe sie jedoch wieder verdrängt. Da ich mit meiner Lungenembolie mindestens wieder bis nächstes Jahr warten muss, bevor ich endlich mit meiner ersten Stimualation beginnen darf, fühle ich mich langsam etwas vom Pech verfolgt. Falls Ihr etwas Genaueres hört, bin ich froh, wenn Ihr wieder hier informiert.
Gabi: weiterhin alles Gute für Deine Schwangerschaft!
Julia: ich drück Dir die Daumen für die Punktion und Transfer
Liebe Grüsse an alle
Lisa
Das hat mich nun etwas geschockt, als Annemarie geschrieben hat, dass die Preise erhöht werden sollen. Im Hinterkopf war bei mir diese Frage schon aufgetaucht, ich habe sie jedoch wieder verdrängt. Da ich mit meiner Lungenembolie mindestens wieder bis nächstes Jahr warten muss, bevor ich endlich mit meiner ersten Stimualation beginnen darf, fühle ich mich langsam etwas vom Pech verfolgt. Falls Ihr etwas Genaueres hört, bin ich froh, wenn Ihr wieder hier informiert.
Gabi: weiterhin alles Gute für Deine Schwangerschaft!
Julia: ich drück Dir die Daumen für die Punktion und Transfer
Liebe Grüsse an alle
Lisa